Our dental hygienists offer oral hygiene with the teeth whitening. Patients for teeth whitening very often need to do oral hygiene prior to the in-chair whitening procedure.







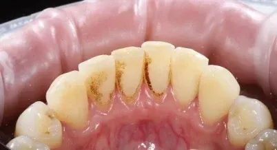
You can remove some staining at home with the use of an electric toothbrush, and a whitening toothpaste. However, this will only create a limited improvement of around 1 shade. This is because once staining builds up due to things in your food and drink, they become very hard to remove and the power of an electric toothbrush is not sufficient to remove all stains. The best way to remove staining is to see your dental hygienist at Super White Dental Clinic for a professional hygiene appointment where we can use ultrasonic cleaning equipment and professional stain removing paste to remove built up and stubborn staining.
This is normally due to a buildup of staining from things in your diet, such as tea, coffee, red wine, fizzy drinks. These stains build up in the difficult areas to clean, such as between teeth. You can limit the buildup by reducing your intake of these foods and drinks, flossing daily to scrape the plaque and stains off between the teeth, using an electric toothbrush which normally has a smaller head to reach into these areas. For the best result, it's best to see your dentist at Super White Dental Clinic for professional cleaning and polishing where we can use specialised ultrasonic cleaning equipment to reach these areas.
Before deciding to brush harder in these areas, please see your dentist at Super White Dental Clinic, as you could be making the problem worse. If the teeth are yellow it could be surface staining, or areas of exposed internal tooth structure. Unfortunately, brushing harder on these areas will only wear away the tooth more, exposing more of the dentine, which is the yellow inner part of the tooth. This in turn will result in more yellowing, and sensitivity as nerves will also be exposed to the outside environment. Please consult your dentist at Super White Dental Clinic to identify the cause of the yellowing of the teeth in the first instance.
Regular professional cleaning at Super White Dental Clinic combined with your home care will help keep your mouth healthy. A clean and healthy mouth will improve your appearance, help you to keep your teeth and give you fresh breath.
Scaling and polishing is usually pain-free. However, if you do have any discomfort the hygienist at Super White Dental Clinic can use anaesthetic creams, or give you some local anaesthetic. It is important that you let the hygienist know at the time so they can help with your pain.
This is what the training of the hygienist is all about. Carefully removing the deposits that build up on the teeth (tartar) at Super White Dental Clinic and teaching you how to prevent it reforming again, will go a long way to slowing the progress of gum disease. By discussing your diet, and recommending other preventive measures, your tooth decay can also be slowed down.
Children can benefit from having their teeth polished. The hygienist can also apply fluoride gels and solutions to help prevent decay. The hygienist will be able to advise if the permanent back teeth would also benefit from having the biting surfaces sealed by the dentist.
Adults can also benefit from having fluoride applied. They can also have anti-bacterial gels and solutions applied under the gum to kill bacteria which causes gum disease. Another very important part of the dental hygienist's work is giving regular instruction and advice on preventative care. Your dental hygienist at Super White Dental Clinic will have shown you how to remove plaque with a toothbrush and fluoride toothpaste. You will also have been shown how to clean between your teeth with floss, tape or little brushes. The relevant products required to do this are sold in the practice and your hygienist will recommend those that are best for you.
You can do a great deal to help yourself and the hygienist, as you are in control of your dental care in between visits to Super White Dental Clinic. Cutting down the amount of sugar in your diet, and the number of times that you eat during the day, can help to reduce decay. Your hygienist can help you by looking at your decay problem, your diet and by making some recommendations for you to consider.
Any toothpaste with fluoride in it is recommended, and will help to protect your teeth and gums. Although whitening toothpastes may help remove some surface staining, it is a limited result.. Toothpaste alone will not be able to whiten your teeth from the inside, or remove stubborn stains.

